Insurances.net
insurances.net » Auto Insurance » Damon Braces: Are They Worth It?
Auto Insurance Life Insurance Health Insurance Family Insurance Travel Insurance Mortgage Insurance Accident Insurance Buying Insurance Housing Insurance Personal Insurance Medical Insurance Property Insurance Pregnant Insurance Internet Insurance Mobile Insurance Pet Insurance Employee Insurance Dental Insurance Liability Insurance Baby Insurance Children Insurance Boat Insurance Cancer Insurance Insurance Quotes Others
]

Damon Braces: Are They Worth It?

Damon braces have become a popular choice for individuals seeking a modern approach to orthodontic treatment. Known for their innovative design and self-ligating mechanism, they promise faster treatment times and more comfortable experiences compared to traditional braces. Understanding their benefits and considerations can help patients make informed decisions about their dental journey.
What Are Damon Braces?
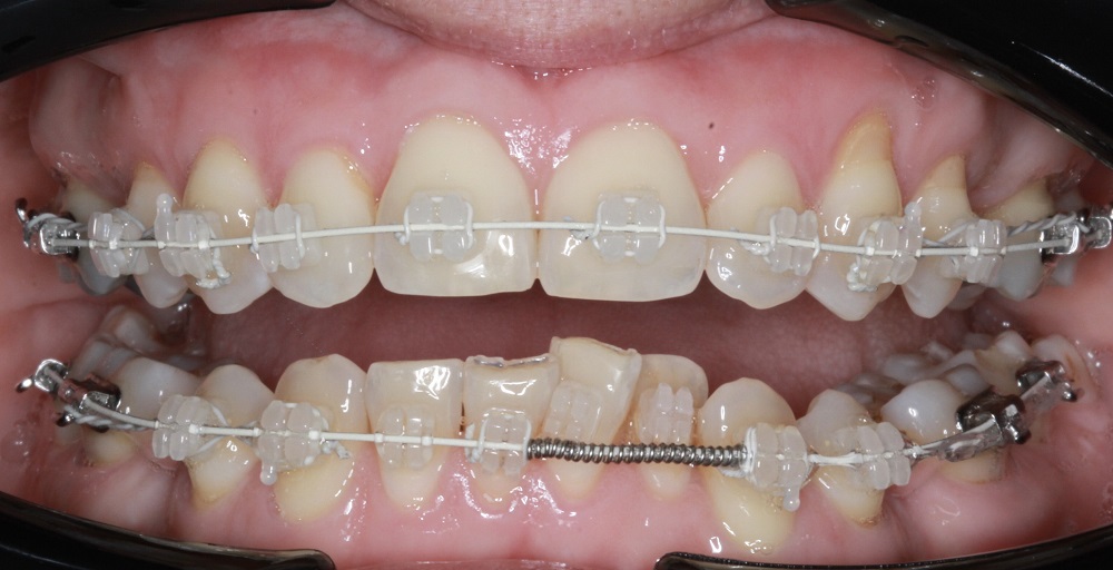
Dental Braces Dubai are a type of self-ligating braces that use a specialized slide mechanism instead of elastic bands to connect the archwire. This design allows teeth to move more freely and reduces friction during the alignment process. Unlike traditional braces, which rely on tightly bound elastic ties, Damon braces offer a gentler approach to tooth movement.
How Damon Braces Work
The self-ligating system of Damon braces enables the archwire to guide teeth into position with minimal pressure. This means that adjustments are often less frequent and more comfortable. The braces use passive force to align teeth, which may result in less discomfort and a more efficient movement compared to conventional methods.
Benefits of Damon Braces
Faster Treatment Time

One of the main advantages of Damon braces is the potential for shorter treatment durations. Since the system reduces friction and allows teeth to move more naturally, patients may spend less time in braces compared to traditional options.
Less Discomfort
The gentle pressure used by Damon braces often translates to reduced pain during adjustments. Many patients report experiencing less soreness, especially after initial placement or wire changes, which can make the overall experience more tolerable.
Improved Oral Hygiene
Without elastic ties to trap food and plaque, Damon braces can be easier to keep clean. The design allows for more accessible brushing and flossing, which can contribute to better oral hygiene throughout the treatment process.
Aesthetic Appeal
Damon braces are available in clear or tooth-colored versions, making them less noticeable. This can be appealing for individuals who prefer a discreet option without compromising the effectiveness of the treatment.
Effective for Complex Cases
Damon braces are often suitable for more complex orthodontic issues, including crowding, spacing, and bite problems. Their design allows for comprehensive treatment while maintaining comfort and efficiency.
Considerations Before Choosing Damon Braces
Adjustment Period

While generally more comfortable, patients may still experience an adjustment period as their teeth begin to move. This may involve mild pressure or sensitivity, especially in the first few weeks.
Maintenance Requirements
Maintaining proper oral hygiene is essential with any braces system. Even though Damon braces reduce plaque accumulation compared to traditional braces, consistent brushing and flossing remain important for healthy gums and teeth.
Duration Variability
Although many patients benefit from faster treatment times, individual results can vary. Factors such as the severity of the dental issue and patient adherence to care instructions can influence the overall duration.
Aesthetic Preferences
Clear or tooth-colored Damon braces offer discreet options, but they are still visible compared to completely invisible alternatives. Patients should consider personal preferences when evaluating their orthodontic choices.
Damon Braces Versus Traditional Braces
Damon braces differ from traditional braces primarily in the self-ligating mechanism, which eliminates the need for elastic ties. This can result in smoother tooth movement, fewer adjustment visits, and less overall discomfort. Traditional braces may require more frequent tightening and can sometimes lead to more noticeable pressure and soreness.
Damon braces also provide a more modern aesthetic with clear or tooth-colored options, while traditional braces are generally more noticeable. The design advantage of Damon braces can make them an appealing choice for those looking for a combination of efficiency and appearance.
FAQs
How Long Does Treatment Take?
Treatment duration varies depending on the complexity of the case. Many patients experience shorter treatment times compared to traditional braces, but individual factors influence the total period.
Are Damon Braces Painful?
Damon braces are designed to reduce discomfort by applying gentle pressure. Some sensitivity may occur during the initial adjustment period, but it is generally less than with conventional braces.
Can Damon Braces Correct Severe Alignment Issues?
Yes, Damon braces are effective for a range of orthodontic problems, including crowding, spacing, and bite corrections. Their self-ligating design allows for efficient movement of teeth even in more challenging cases.
Are Damon Braces Noticeable?
They are less noticeable than traditional metal braces due to clear or tooth-colored options. While not completely invisible, they provide a more discreet appearance for those concerned about aesthetics.
Is Oral Hygiene Difficult with Damon Braces?
Maintaining oral hygiene is easier with Damon braces compared to traditional braces with elastic ties. The absence of ligatures reduces food trapping, making brushing and flossing more effective and convenient.
Final Thoughts
Damon braces offer a modern and comfortable approach to orthodontic treatment, with potential benefits including faster results, reduced discomfort, and improved aesthetics. While they may not be completely invisible and require careful oral hygiene, their design makes them suitable for a wide range of dental issues. For individuals seeking an efficient and less intrusive braces experience, Damon braces can be a worthwhile option to consider.
Their combination of effectiveness, comfort, and appearance makes them an appealing choice for those looking to improve their smile without compromising on convenience. Proper care and regular check-ins ensure optimal results, helping patients achieve healthier and well-aligned teeth in a shorter time frame.Damon braces have become a popular choice for individuals seeking a modern approach to orthodontic treatment. Known for their innovative design and self-ligating mechanism, they promise faster treatment times and more comfortable experiences compared to traditional braces. Understanding their benefits and considerations can help patients make informed decisions about their dental journey.
What Are Damon Braces?
Damon braces are a type of self-ligating braces that use a specialized slide mechanism instead of elastic bands to connect the archwire. This design allows teeth to move more freely and reduces friction during the alignment process. Unlike traditional braces, which rely on tightly bound elastic ties, Damon braces offer a gentler approach to tooth movement.
How Damon Braces Work
The self-ligating system of Damon braces enables the archwire to guide teeth into position with minimal pressure. This means that adjustments are often less frequent and more comfortable. The braces use passive force to align teeth, which may result in less discomfort and a more efficient movement compared to conventional methods.
Benefits of Damon Braces
Faster Treatment Time
One of the main advantages of Damon braces is the potential for shorter treatment durations. Since the system reduces friction and allows teeth to move more naturally, patients may spend less time in braces compared to traditional options.
Less Discomfort
The gentle pressure used by Damon braces often translates to reduced pain during adjustments. Many patients report experiencing less soreness, especially after initial placement or wire changes, which can make the overall experience more tolerable.
Improved Oral Hygiene
Without elastic ties to trap food and plaque, Damon braces can be easier to keep clean. The design allows for more accessible brushing and flossing, which can contribute to better oral hygiene throughout the treatment process.
Aesthetic Appeal
Damon braces are available in clear or tooth-colored versions, making them less noticeable. This can be appealing for individuals who prefer a discreet option without compromising the effectiveness of the treatment.
Effective for Complex Cases
Damon braces are often suitable for more complex orthodontic issues, including crowding, spacing, and bite problems. Their design allows for comprehensive treatment while maintaining comfort and efficiency.
Considerations Before Choosing Damon Braces
Adjustment Period
While generally more comfortable, patients may still experience an adjustment period as their teeth begin to move. This may involve mild pressure or sensitivity, especially in the first few weeks.
Maintenance Requirements
Maintaining proper oral hygiene is essential with any braces system. Even though Damon braces reduce plaque accumulation compared to traditional braces, consistent brushing and flossing remain important for healthy gums and teeth.
Duration Variability
Although many patients benefit from faster treatment times, individual results can vary. Factors such as the severity of the dental issue and patient adherence to care instructions can influence the overall duration.
Aesthetic Preferences
Clear or tooth-colored Damon braces offer discreet options, but they are still visible compared to completely invisible alternatives. Patients should consider personal preferences when evaluating their orthodontic choices.
Damon Braces Versus Traditional Braces
Damon braces differ from traditional braces primarily in the self-ligating mechanism, which eliminates the need for elastic ties. This can result in smoother tooth movement, fewer adjustment visits, and less overall discomfort. Traditional braces may require more frequent tightening and can sometimes lead to more noticeable pressure and soreness.
Damon braces also provide a more modern aesthetic with clear or tooth-colored options, while traditional braces are generally more noticeable. The design advantage of Damon braces can make them an appealing choice for those looking for a combination of efficiency and appearance.
FAQs About Damon Braces
How Long Does Treatment Take?
Treatment duration varies depending on the complexity of the case. Many patients experience shorter treatment times compared to traditional braces, but individual factors influence the total period.
Are Damon Braces Painful?
Damon braces are designed to reduce discomfort by applying gentle pressure. Some sensitivity may occur during the initial adjustment period, but it is generally less than with conventional braces.
Can Damon Braces Correct Severe Alignment Issues?
Yes, Damon braces are effective for a range of orthodontic problems, including crowding, spacing, and bite corrections. Their self-ligating design allows for efficient movement of teeth even in more challenging cases.
Are Damon Braces Noticeable?
They are less noticeable than traditional metal braces due to clear or tooth-colored options. While not completely invisible, they provide a more discreet appearance for those concerned about aesthetics.
Is Oral Hygiene Difficult with Damon Braces?
Maintaining oral hygiene is easier with Damon braces compared to traditional braces with elastic ties. The absence of ligatures reduces food trapping, making brushing and flossing more effective and convenient.
Final Thoughts
Damon braces offer a modern and comfortable approach to orthodontic treatment, with potential benefits including faster results, reduced discomfort, and improved aesthetics. While they may not be completely invisible and require careful oral hygiene, their design makes them suitable for a wide range of dental issues. For individuals seeking an efficient and less intrusive braces experience, Damon braces can be a worthwhile option to consider.
Their combination of effectiveness, comfort, and appearance makes them an appealing choice for those looking to improve their smile without compromising on convenience. Proper care and regular check-ins ensure optimal results, helping patients achieve healthier and well-aligned teeth in a shorter time frame.Damon braces have become a popular choice for individuals seeking a modern approach to orthodontic treatment. Known for their innovative design and self-ligating mechanism, they promise faster treatment times and more comfortable experiences compared to traditional braces. Understanding their benefits and considerations can help patients make informed decisions about their dental journey.
What Are Damon Braces?
Damon braces are a type of self-ligating braces that use a specialized slide mechanism instead of elastic bands to connect the archwire. This design allows teeth to move more freely and reduces friction during the alignment process. Unlike traditional braces, which rely on tightly bound elastic ties, Damon braces offer a gentler approach to tooth movement.
How Damon Braces Work
The self-ligating system of Damon braces enables the archwire to guide teeth into position with minimal pressure. This means that adjustments are often less frequent and more comfortable. The braces use passive force to align teeth, which may result in less discomfort and a more efficient movement compared to conventional methods.
Benefits of Damon Braces
Faster Treatment Time
One of the main advantages of Damon braces is the potential for shorter treatment durations. Since the system reduces friction and allows teeth to move more naturally, patients may spend less time in braces compared to traditional options.
Less Discomfort
The gentle pressure used by Damon braces often translates to reduced pain during adjustments. Many patients report experiencing less soreness, especially after initial placement or wire changes, which can make the overall experience more tolerable.
Improved Oral Hygiene
Without elastic ties to trap food and plaque, Damon braces can be easier to keep clean. The design allows for more accessible brushing and flossing, which can contribute to better oral hygiene throughout the treatment process.
Aesthetic Appeal
Damon braces are available in clear or tooth-colored versions, making them less noticeable. This can be appealing for individuals who prefer a discreet option without compromising the effectiveness of the treatment.
Effective for Complex Cases
Damon braces are often suitable for more complex orthodontic issues, including crowding, spacing, and bite problems. Their design allows for comprehensive treatment while maintaining comfort and efficiency.
Considerations Before Choosing Damon Braces
Adjustment Period
While generally more comfortable, patients may still experience an adjustment period as their teeth begin to move. This may involve mild pressure or sensitivity, especially in the first few weeks.
Maintenance Requirements
Maintaining proper oral hygiene is essential with any braces system. Even though Damon braces reduce plaque accumulation compared to traditional braces, consistent brushing and flossing remain important for healthy gums and teeth.
Duration Variability
Although many patients benefit from faster treatment times, individual results can vary. Factors such as the severity of the dental issue and patient adherence to care instructions can influence the overall duration.
Aesthetic Preferences
Clear or tooth-colored Damon braces offer discreet options, but they are still visible compared to completely invisible alternatives. Patients should consider personal preferences when evaluating their orthodontic choices.
Damon Braces Versus Traditional Braces
Damon braces differ from traditional braces primarily in the self-ligating mechanism, which eliminates the need for elastic ties. This can result in smoother tooth movement, fewer adjustment visits, and less overall discomfort. Traditional braces may require more frequent tightening and can sometimes lead to more noticeable pressure and soreness.
Damon braces also provide a more modern aesthetic with clear or tooth-colored options, while traditional braces are generally more noticeable. The design advantage of Damon braces can make them an appealing choice for those looking for a combination of efficiency and appearance.
FAQs About Damon Braces
How Long Does Treatment Take?

Treatment duration varies depending on the complexity of the case. Many patients experience shorter treatment times compared to traditional braces, but individual factors influence the total period.
Are Damon Braces Painful?
Damon braces are designed to reduce discomfort by applying gentle pressure. Some sensitivity may occur during the initial adjustment period, but it is generally less than with conventional braces.
Can Damon Braces Correct Severe Alignment Issues?
Yes, Damon braces are effective for a range of orthodontic problems, including crowding, spacing, and bite corrections. Their self-ligating design allows for efficient movement of teeth even in more challenging cases.
Are Damon Braces Noticeable?
They are less noticeable than traditional metal braces due to clear or tooth-colored options. While not completely invisible, they provide a more discreet appearance for those concerned about aesthetics.
Is Oral Hygiene Difficult with Damon Braces?
Maintaining oral hygiene is easier with Damon braces compared to traditional braces with elastic ties. The absence of ligatures reduces food trapping, making brushing and flossing more effective and convenient.
Final Thoughts
Dental Braces in Dubai offer a modern and comfortable approach to orthodontic treatment, with potential benefits including faster results, reduced discomfort, and improved aesthetics. While they may not be completely invisible and require careful oral hygiene, their design makes them suitable for a wide range of dental issues. For individuals seeking an efficient and less intrusive braces experience, Damon braces can be a worthwhile option to consider.
Their combination of effectiveness, comfort, and appearance makes them an appealing choice for those looking to improve their smile without compromising on convenience. Proper care and regular check-ins ensure optimal results, helping patients achieve healthier and well-aligned teeth in a shorter time frame.

  Damon Braces: Are They Worth It?
點擊在新窗口查看全圖
Share:
2026-2-12 17:26 
Allegiant Air Myrtle Beach Office +1-888-738-0817 Nifedipine Uses, Benefits, and Risks Explained Nifedipine Uses, Benefits, and Risks Explained Air Canada Montreal Headquarters: Corporate Office & Travel Support MetaMask Login - Official Website™ | Sign in with Ethereum Laser247 Login Guide: Common Issues, Fixes, and Secure Access Tips seo Is It Safe to Bet in India Using DiamondExch ID? Complete Guide 350 crate engine GST Course Is Assignment Help Australia 24/7 Available? premium platform branding in adult voice services Corteiz Clothing
Write post print
www.insurances.net guest:  register | login | search IP(216.73.217.178) California / Rosemead Processed in 0.019064 second(s), 8 queries , Gzip enabled debug code: , , 952,
Damon Braces: Are They Worth It? Rosemead